口腔健康
牙隐裂——牙齿的隐形杀手
2026-03-05 15:11:35
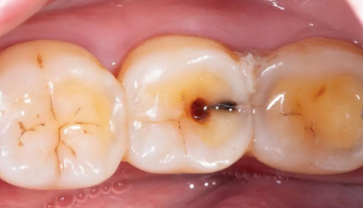
牙隐裂(Cracked tooth)是牙齿表面因长期咬合压力、外伤或结构缺陷形成的微小裂纹,常肉眼难辨,是从牙冠开始并延伸到龈下的不完全折裂,通常为近远中方向,裂纹可以延伸至一个或两个边缘嵴并穿过近端表面,有可能累及牙髓或牙根,导致牙髓和根尖周病变。
 
常见病因:
牙隐裂是一种多因素疾病,主要概括为牙体因素、个人因素、医源性因素及其他因素。
1.牙体因素:包括过陡的牙尖、过深的尖窝关系使牙齿受到的侧向力增加。
2.个人因素:通常是在咀嚼中突然遇到骨渣等硬物,会使某个牙齿承受的咬合力骤然加大,从而造成包括隐裂在内的牙体硬组织损伤。
3.医源性因素:主要是指过度的窝洞预备导致剩余牙体组织抗力不足,或者拔牙中的器械失控撞击对颌牙等。
4.其他因素:包括事故中外力对牙齿的打击等,都可以导致牙体硬组织的不完全折裂。
好发牙位:
1.上颌第一磨牙(六龄牙):占隐裂牙的 60%—70%,因其咬合力最大且窝沟最深。
2.下颌磨牙:占比约 20%—30%,多与对颌牙尖咬合创伤相关。
3.前磨牙:偶见隐裂,常因咬合干扰或外伤导致。
临床表现:
隐裂牙患者早期无明显症状,不易及时发现。在临床中,较为常见的患者主诉为较长时间的咀嚼不适或咬合痛,无法解释的冷刺激敏感,病史较长。
其中,咬合痛被认为是牙隐裂最常见的症状,咬到硬物或咬合时某一尖锐的定点性咀嚼疼痛是该病具有的特征性症状。
除了患者的描述外,医生也会通过一些临床检查方法辅助诊断,包括冷诊、叩诊、咬诊、染色、透照、拍摄x线片或者CBCT等。
治疗方法:
1. 对于隐裂纹局限于牙釉质层的活髓隐裂牙,可以通过调磨过陡牙尖,减小咀嚼压力,从而缓解疼痛;或者磨除隐裂纹,树脂充填修复,防止裂纹扩展和细菌毒素微渗漏到牙髓。
2. 对于隐裂纹达牙本质中、深层的隐裂牙,可通过全冠修复,将裂纹与口腔环境完全隔离。若出现牙髓炎症状,应及时行牙髓治疗(根管治疗),治疗后也要及时行全冠修复,防止裂纹进一步扩大。
3. 对于完全裂开或者发生牙根纵裂的牙齿,可做截根术、半切除术,更严重的患牙要拔除。若患牙拔除,日后可考虑种植修复恢复咀嚼力。
预防方法:
1.及时纠正不良习惯,例如过冷过热食物交替食用、用牙齿咬瓶盖、钥匙等硬物;在啃咬螃蟹、山核桃等硬物时,最好借助工具,保护好牙齿。
2.易紧咬牙或有夜磨牙习惯的患者可以通过佩戴夜磨牙垫来缓冲过大咬合力,减少牙齿磨耗。
3.隐裂牙患者出现早期症状,尤其是特定位置的咬合疼痛,应引起重视及时就诊。
Copyright © 2008       口腔医院版权所有      苏ICP备19046224号-1      电话: 0517-84569966|18005237191      地址:淮阴区北京东路102号(万达广场旁翔宇大道向北3公里处)