口腔健康
牙外伤治疗指南介绍——乳牙冠根折
2026-03-05 15:09:33
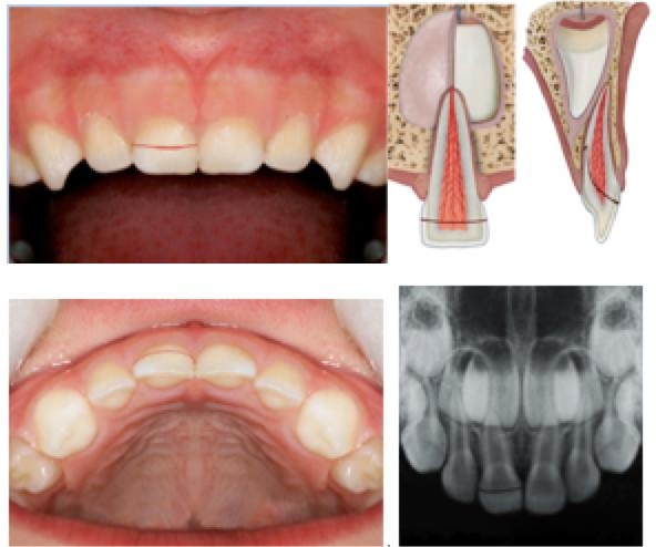
冠根折未涉及牙髓(乳牙)
A 基本描述:
    折裂线涉及牙釉质,牙本质和牙骨质的牙体缺损,牙髓未暴露。
 
B 诊断:
    折裂线的定位:折裂涉及牙齿的冠部和牙根,并且处于水平或斜切面中。X射线检查通常仅揭示折裂的牙冠部分而不是根尖部分。
 
描述
 
折裂线涉及牙釉质,牙本质和牙骨质的牙体缺损,但未暴露牙髓
 
视诊
 
冠折裂延伸到龈缘下方。冠折裂成两个或更多个片段,其中一个是移动的
叩诊 疼痛
松动度
 
至少一个冠部碎片是移动的。由于咀嚼期间的移动可能造成暂时性疼痛
牙髓活力
测试
乳牙结果不可靠。结果前后不一致
放射学检查 根尖向的折裂折通常不可见
放射推荐 咬合片
C 治疗:
1.仅拔除碎片:如果牙折仅涉及根的一小部分,并且余留的牙体组织足够稳定并可支持冠部修复,则拔除松动部分。
2.拔除患牙:在所有其他情况下牙拔除。
患者指导 :
    软食10—14天;在牙齿和口腔组织受伤后良好的愈合部分取决于良好的口腔卫生。每次用餐后用软毛刷刷,并用棉签将0.1%氯己定含漱液局部擦拭于受伤区域,每天两次,持续一周。
    (仅碎片拔除)应进一步告知家长可能发生的并发症,如肿胀、牙齿松动或瘘管。孩子可能不会抱怨疼痛; 然而仍可能存在感染风险,父母应注意牙龈肿胀的迹象,并带孩子进一步治疗。
随访:
仅拔除碎片:1周后、3~4周、1年后临床和影像学检查
牙齿拔除:1年内临床和放射学检查,以后每年检查直到恒牙萌出。
 
02
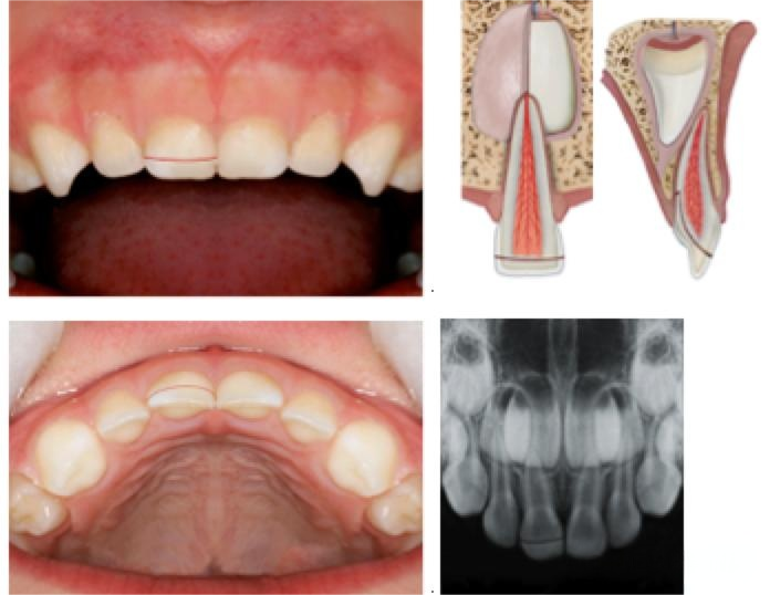
冠根折涉及牙髓(乳牙)
 
A 基本描述:
     一种涉及牙釉质,牙本质和牙骨质的牙体缺损,并暴露牙髓。
 
 
B 诊断
     折裂线的定位:折裂涉及牙齿的冠部和牙根,并且处于水平或斜切面中。X射线检查通常仅揭示折裂的牙冠部分而不是根尖部分。
 
描述
 
折裂线涉及牙釉质,牙本质和牙骨质的牙体缺损,暴露牙髓
 
视诊
 
冠折裂延伸到龈缘下方。冠折裂成两个或更多个片段,其中一个是移动的
叩诊 疼痛
松动度
 
至少一个冠部碎片是移动的。由于咀嚼期间的移动可能造成暂时性疼痛
牙髓活力
测试
乳牙结果不可靠。结果前后不一致
放射学检查 根尖向的折裂折通常不可见
放射推荐 咬合片
C治疗:
1.仅碎片拔除:如果牙折仅涉及根的一小部分,并且余留的牙体组织足够稳定并可支持冠部修复,则拔除松动部分。
2.拔除患牙:在所有其他情况下牙拔除。
患者指导:
    软食10—14天;牙齿和口腔组织受伤后良好的愈合部分取决于良好的口腔卫生。每次用餐后用软毛刷刷,并用棉签将0.1%氯己定含漱液局部擦拭于受伤区域,每天两次,持续一周。
   (仅碎片拔除)应进一步告知家长可能发生的并发症,如肿胀、牙齿松动或牙龈出现瘘管。孩子可能不会抱怨疼痛; 然而仍可能存在感染风险,父母应注意牙龈肿胀的迹象,并带孩子进一步治疗。
随访:
1年内临床和放射学检查,以后每年检查直到恒牙萌出。
 
注:文章中图片来源于网络。
Copyright © 2008       口腔医院版权所有      苏ICP备19046224号-1      电话: 0517-84569966|18005237191      地址:淮阴区北京东路102号(万达广场旁翔宇大道向北3公里处)