
种植牙疼不疼
牙齿掉了?牙齿撞断了?松动的牙快掉了?医生首选会想到给患者采用效果理想的种植牙,而对于患者来说,种植牙毕竟是个手术,多多少少会感到害怕,尤其是对疼痛比较敏感的人,因此,常有缺牙患者前来问我们的医生做种植牙疼不疼,为让更多患者能了解种植牙,我院对种植牙疼不疼做了相信的介绍,共同来了解下!sp>an>a
>center>
align="center>" 淮安市口腔医院种植牙治疗案例sp>an>a
种植牙会不会疼?有可能的疼痛会出现在哪个过程?
种植牙是牙科临床上针对牙齿缺损及牙齿缺失进行的一种修复,以恢复牙列的完整及牙体的咀嚼物理性能,一般种植体牙植入术只需要几十分钟至数小时即可以完成。由于选用的是与人体相容性极好的生物材料,种植牙对人体不产生任何的不良的副作用。并且常规的种植牙种植前,医生都会为患者进行麻醉处理,整个手术过程中并不会感觉到疼痛,根据个体反应,术后两三天内有的患者可能会有疼痛肿胀的感觉,但完全在可以忍受的范围之内,并不需要休息,也不影响工作。sp>an>a
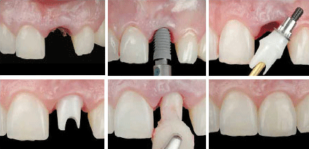
了解种植牙的全过程— 让你更放心的做种植牙
第一阶段:安装种植体,首先,医生将种植体植入牙床内,以代替缺失牙。一般种植体植入术只需要几十分钟到数小时即可以完成。由于选用的是与人体相容性极好的生物材料,种植牙对人体不产生任何不良的副作用,更不会致癌。
sp>an手术中无疼痛,术后有轻微。
第二阶段:种植体融合期,约2-3个月后,种植体和骨组织完全长密合后再进行第二次手术,在这期间戴用临时义齿。
sp>an无任何疼痛。
第三阶段:安装烤瓷牙冠,待种植体和骨组织完全结合牢固后,可进行第二次手术,第二次手术的愈合时间大致为1~6周。医生将在种植体上安装基台,整个基本步骤便告完成。部分医生会选择在植入牙体的同时连基台一起装上。最后,医生在基台上安装烤瓷牙冠,种植牙手术就全部完成了。sp>an>a
sp>an无任何疼痛。
>center>
style="text-align: center;"> 种植牙过程图,更多详情sp>an>a
做种植牙——患者更信任淮安市口腔医院
种牙40年保障:1)预先看效果:三维口腔CT,精确定位,模拟成型。2)无排斥反应:选用的种植体材料生物性极好,100%安全。3)微创无痛:无痛苦,创伤近乎0,不影响生活。4)稳定牢固:不用担心脱落,软硬食物都可以吃。5)即拔即种:口腔条件允许可种完牙根马上装冠使用(传统种植牙需等3个月)。6)时间短:种牙只用5-10分钟左右,不耽误事。7)寿命长:一次种牙可用40年以上。8)舒适美观:和真牙舒服自然,吃东西方便,颜色和真牙一样。
医生全程亲诊:在淮安市口腔医院,口腔专家全程负责种牙手术事宜(有些医院专家制作好了方案,交给助理或交接给其他医生),确保每一例手术都高质量完成,让患者对效果满意。
卫生消毒到位:淮安市口腔医院腔采用层流手术,手术室内空气每分钟置换10次以上,温度、湿度、清洁度恒定;温度控制在22℃`26℃,湿度控制在10%~60%之间,环境时刻处于无尘无菌的超洁净状态,确保口腔种植手术无感染,恢复更快。
术前签署质保:为对患者治疗效果负责,凡到院治疗患者,治疗前可签署质保协议,此外术后定期会有医护人员指导日常的口腔护理和保养,让你安心接受治疗。
上一篇:没有了 
















