
牙齿松动能彻底治好吗?
牙齿松动,现在不光光是老年人面临的问题。许多青壮年也会因为牙齿松动来前来就诊。那么牙齿松动的原因是什么呢?又该如何解决呢?我们一起来看看专家的介绍。
>center>
style="text-align: center;"> 牙齿松动能彻底治好吗?sp>an>a
淮安市口腔医院专家指出,很多患者觉得牙齿松动就应该拔掉,其实不然。只要通过系统的治疗,我们松动的牙齿也是可以挽救的。
——专家解析:牙齿松动的原因。
1、外伤造成:
外力的撞击,使用牙齿咬硬的东西。如今因车祸等外伤引起的牙齿松动越来越多。
2、口腔疾病:
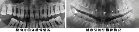
牙周病发展至较为严重的程度,大多数会发生“牙齿松动”。其特点是牙周组织广泛破坏,同时出现溢脓,牙龈出血,红肿疼痛,牙齿松动,口臭等症状。
style="text-align: center;"> a>sp>an
——牙齿松动怎么办?专家说对症治疗!
一、轻度松动
多为炎症所引起,只要进行简单的消炎治疗,或服用消炎药物即可恢复功能。但在治疗过程中,切勿再使用牙齿触碰硬物,例如用牙咬核桃等。
二、中度松动
可利用邻牙固定。或行“烤瓷联冠固定修复术”,以降低松动牙的负荷,阻止牙齿松动的加重。这时松动的牙齿多数还不能恢复,需结合更为系统的牙周治疗。
style="text-align: center;"> a>sp>an
二、重度松动
此时牙齿已无法治疗,只能行拔牙处理。牙齿拔除后,根据情况再行镶牙治疗。以免缺失的牙位引起邻牙的继续松动。
专家提示:发现牙齿松动,越早治疗效果越好。如延误治疗,只会让病情加重,导致最后牙齿脱落的后果。
——松动掉牙不用怕,种植牙来帮忙!>sp>an
>center>
style="text-align: center;"> 什么是种植牙?sp>an>a
牙齿松动拖延治疗的情况在临床时有发生。许多患者都会拖到牙齿不能再治疗的时候才来医院就诊。而此时,牙齿直接接受拔除再镶的命运。然而对着医疗技术的不断发展,种植牙技术可以帮助我们完美解决松动牙脱落的问题。
淮安市口腔医院率先引进国际先进的即刻种植牙系统,拔牙的同时还可立即种植牙,完全不影响您的生活质量。种植完的牙齿,不但外观上和我们的真牙极其相似,更是恢复了我们真牙90%以上使用功能,咀嚼能力比传统镶牙方式大大提升。被誉为“人类除乳牙,恒牙外的第三幅牙齿”。
特别提醒:>sp>an不要盲目拔牙,拔牙前需拍摄全景的口腔CT片(江苏仅淮安市口腔医院可提供口腔全景CT拍摄),明确牙齿确实没有存在的价值后再进行拔出!此外,因文章内容阐述有限,不能将每个人的疑问一一解决,如有疑问或想提前预约不排队,可点此sp>an>a或sp>an>a,也可直拨打就诊热线:sp>an 。
上一篇:钴铬合金烤瓷牙多少钱一颗 
















