口腔健康
牙龈出血?牙缝变大?口臭!没有想象得那么简单!
2026-04-15 18:04:18
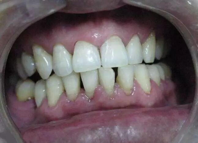
牙龈出血是口腔科常见症状之一,是指牙龈自发性的或由于轻微刺激引起的少量流血。轻者表现为仅在吮吸、刷牙、咀嚼较硬食物时唾液中带有血丝,重者在牙龈受到轻微刺激时即出血较多甚至自发性出血。

刷牙出血:

正常的牙龈是呈粉红色的,富有弹性且坚韧,刷牙时是不会出血的。但是,当你出现间歇性或连续性、少许或大量、自发性出血还是受外界因素刺激出血的情况时,都代表着你的牙龈状况很不好。原因从大到小,牙龈出血→牙龈炎症→牙结石对牙龈刺激→牙菌斑滋生造成牙龈炎症→口腔卫生环境差。
 
PS:长期抽烟的朋友,牙龈颜色比较苍白,质地较韧,所以刷牙出血倾向不明显,但是,抽烟与牙周炎关系甚为密切,它会促使炎症发展。
当你刷牙时,不要因为出血而不刷,这时候要轻轻刷,还要按时刷,去除哪里引起炎症的牙菌斑,缓解牙龈炎,才能减少出血。另外,可以通过洗牙减少牙结石对牙龈的刺激,这也是最有效最直接的方法。

持续性口臭:

口臭是很常见的口腔疾病,引起口臭的原因很多,其中,牙周炎就是一个重要的原因。而这里说到的牙龈出血,组织发炎、口臭、牙结石都是牙周病的表现。
 
有些口臭的人自己感觉不到自己的问题,小编提供了一个自测法:口臭主要来源于舌前2/3,我们可以用舌头舔舔手背,晾干后,闭上嘴闻一下,臭不臭自己知道就好。治疗牙周炎引起的口臭,可以进行洁治、刮治、牙周手术、牙周炎治疗等,平时也要注意保持口腔卫生。

牙龈肿痛:

有个别位置的牙龈因为急性的炎症导致脓肿的产生,也会出现牙龈肿痛的症状。当患者前来就诊的时候,叙述牙龈上有个“大包”,也许是才起的,也许是反复肿的。这就是牙周炎症导致的“牙周脓肿”,它往往代表了下面局部的骨头有快而大量的破坏,所以一定要早处理。
多喝水,不要吃辛辣的食物,可以用阿莫西林和牙痛安或点滴青霉素甲硝唑进行治疗,最好去医院牙科确诊病因治疗。

牙缝越来越大:

牙周病会引起牙龈和下方牙槽骨的退缩,引起牙间本应由牙龈和牙槽骨占据的空间暴露出来,使患者感觉牙缝越来越大。
 
治疗牙周病是终止牙龈退缩的首选方法。首先是洗牙,把牙齿表面尤其是牙龈边缘的牙石清除掉;把牙菌斑通通刮干净,并把已变得粗糙的牙根表面刮平整,冲洗干净;最后是根据病情,每三个月或半年复诊一次,如果有必要再做相应的治疗。一般来说,做完前两步治疗,就能基本控制牙周炎症。
Copyright © 2008       口腔医院版权所有      苏ICP备19046224号-1      电话: 0517-84569966|18005237191      地址:淮阴区北京东路102号(万达广场旁翔宇大道向北3公里处)