阻生牙是由于软组织或硬组织的阻力而造成牙齿不能萌出的情况,临床上常见的是智齿,个别情况是上颌正中的多生牙,这些都是阻生牙,阻生牙在临床上有较大的危害。对智齿来说,危害主要有以下几点:
1.反复发作的冠周炎:阻生的智齿牙冠周围软组织与牙齿之间形成一盲袋,引起食物、细菌的积存,抵抗力下降时,出现冠周炎症。一般的消炎治疗治标不治本,因此冠周炎会反复发作。常表现为冠周组织红肿疼痛,以致影响咀嚼,吞咽,还常伴有张口困难及发烧,淋巴结肿大等全身症状。若炎症未及时控制,还可向颌周、颈部扩散,形成组织间感染、颌骨骨髓炎,甚至还可发生败血症、心包炎等严重全身并发症。

2.龋齿:阻生的智齿与第二磨牙之间容易积存食物残渣,而且不易清洁,很容易形成智齿和第二磨牙的龋齿而发生疼痛。


3.
引发三叉神经痛:有证据表明一些阻生智齿是某些三叉神经痛的病灶所在。
4.
牙列不齐:智齿萌出运动的推动力常是造成牙齿拥挤和排列不整齐的主要原因之一。
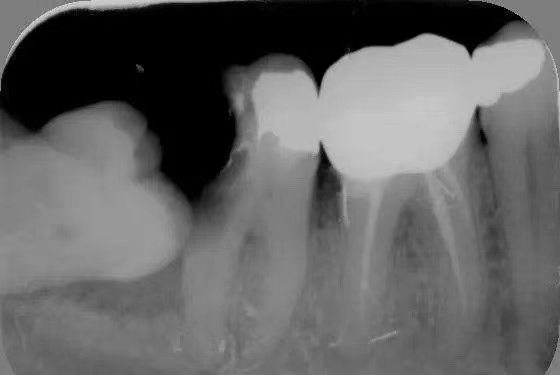
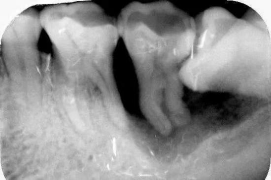
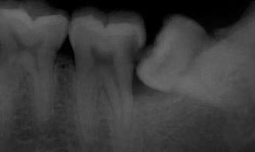
5.邻牙及支持组织的吸收:当阻生的智齿萌出过程中受阻于第二磨牙时,会引发第二磨牙牙根逐渐吸收,严重者可使下颌第二磨牙远中牙根完全吸收,致第二磨牙松动、疼痛。阻生智齿与第二磨牙间常食物嵌塞发生慢性牙周炎,也会造成牙槽骨的炎症性吸收,使第二磨牙反复肿痛。


6.
下颌关节功能紊乱症:下颌智齿的阻生也是下颌紊乱症的原因之一。临床主要表现为颞下颌关节的弹响、疼痛和下颌运动的异常,咀嚼肌的疼痛等症状。
7.
智齿周围囊性病变:颌骨的牙源性囊性病变好发于未萌出的埋伏牙,而下颌阻生的智齿是主要的好发部位之一。
8.
口腔粘膜发生癌前病损:阻生和错位智齿的牙龈和颊粘膜,可因牙冠边缘的长期机械刺激或反复咬伤,而使粘膜发生溃疡、糜烂、组织异常增生及白斑等病理损害。如此长期的创伤修复再创伤过程会影响口腔粘膜上皮的正常角化而发生癌前病损,进而诱发口腔粘膜癌变。
上述内容介绍的就是阻生牙引发的三大危害,建议在出现这些不良危害的时候重视起来,根据医生的指导采取应对措施。另外,在平时生活当中还应该养成良好的口腔习惯,注意口腔卫生,吃东西的时候要细嚼慢咽,坚硬刺激的食物要严格禁止。