网站首页
医院概况
新闻中心
口腔健康
科室介绍
创岗创号
医生介绍
就医指南
党群工作
网站首页
医院概况
新闻中心
口腔健康
科室介绍
创岗创号
医生介绍
就医指南
党群工作
口腔健康
医院新闻
通知公告
口腔健康
>
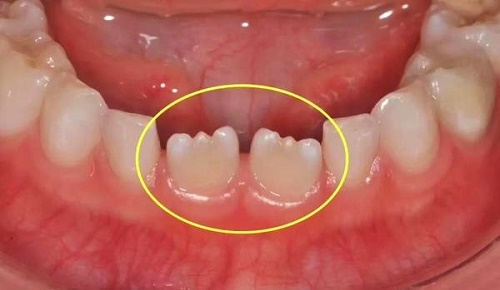
牙齿呈锯齿状形态正常吗?
2026-01-07 16:30:45
儿童换牙后牙齿呈锯齿状,绝大部分情况都是正常的,是生理性的表现。这种表现大部分是在处于替牙前期,也就是6-8岁的孩子,上、下的切牙在切端出现这种问题,我们称之为切缘结节,是发育正常的表现,本身会在牙齿上呈现W形态,说明上、下前切牙的切端是由3个发育叶发育而来。可以把它想象成新买轮胎的花纹,一开始买的新车或者新的轮胎,上面都会有非常新的花纹,以后随着时间的推移,花纹会逐渐减轻,新萌出的牙齿也是如此,在今后的日子里随着咀嚼食物,这种锯齿状会逐渐消失。
注:图片来源于网络。
上一篇:
正畸小常识
下一篇:
口腔溃疡怎么办
Copyright © 2008 口腔医院版权所有
苏ICP备19046224号-1
电话: 0517-84569966|18005237191 地址:淮阴区北京东路102号(万达广场旁翔宇大道向北3公里处)