口腔健康
磕掉的牙齿别扔,也许还能粘回去!
2025-12-19 15:48:22

随着户外活动的增加,儿童及青少年发生意外伤害的情况也越来越多。

 
 
 
在儿童及青少年口腔伤害中,主要表现为门牙的外伤。青少年这个群体自尊心比较强,门牙发生冠折后若不及时、有效地救治,不仅对其发音、咀嚼造成一定的影响,更有可能对患者幼小的心灵造成一定创伤。
 
 
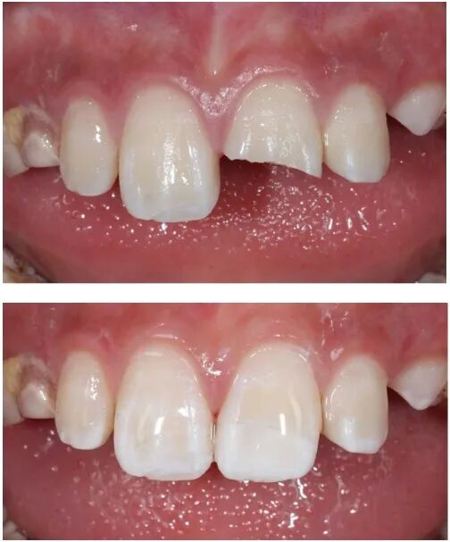
01摔断的牙可以再粘回去吗?答案是可以的。
目前临床上对于前牙外伤冠折后的处理,通常有两种方式:断冠再接术、复合树脂直接修复术
 
断冠再接术和复合树脂直接修复术相比,存在一定的优势。对于年轻恒牙冠折患者来说,是比较可靠的、过渡性的修复方法。
 
 
02那么,家长们到底该怎么正确帮助孩子第一时间内救回牙齿呢?
牙齿掉在地上脏了,在捡起牙齿的时候注意,不要用手碰到牙根的部分,可以拿着牙冠的部分。
 
 
 
用清水温和地冲干净。这里要强调,不可用肥皂,也不要擦洗、晾干,更不要用纸巾或布包裹、酒精浸泡。
 
切勿让牙齿暴露在干燥的环境中,可以用生理盐水、牛奶、蛋清或唾液,如果没有条件,可以含在口内舌下的位置(此法需警惕孩子误吞食)。
 
 
 
03牙外伤的治疗时机有黄金30分钟的说法,也就是越早就医,预后越好。
全脱出的牙齿,如果保管妥当,并能在半小时内进行复位,长期存活的几率接近100%。若牙齿或断牙离体超过两个小时,牙髓活性恢复几率将大大降低,即便行完善的复位术或断冠再接术,牙齿存活时间也会大打折扣。已经接好的门牙,一定要注意保护,避免啃咬硬物。
 
根据牙齿折断的位置和牙根的条件,医生会判断是否可以进行断冠再接。如果断端位于龈上,可以将断牙再粘接回去;如果断端位于龈下,牙根有一定长度,可以行牙冠延长术或正畸牵引术,排龈止血后,同样可以做断冠再接术。
 
04日常如何保护?
平时运动时应该采取积极措施预防牙齿外伤。如参加各类体育活动和游戏时,应注意防护,尤其是进行滑板、滑轮等高速度高风险运动时,应佩戴头盔、牙托等防护用具,减少牙齿受伤风险。
 
Copyright © 2008       口腔医院版权所有      苏ICP备19046224号-1      电话: 0517-84569966|18005237191      地址:淮阴区北京东路102号(万达广场旁翔宇大道向北3公里处)